En España hallan Colombianos que eran explotados laboralmente
Revelaciones alarmantes sobre explotación laboral sacuden a la comunidad migrante colombiana en el extranjero.…
Artículos en Internacional
Ver todo el blog
Revelaciones alarmantes sobre explotación laboral sacuden a la comunidad migrante colombiana en el extranjero.…
La Bichota sigue haciendo historia. Esta vez, uno de sus más representativos tatuajes estará plasmado como logo en la camiseta del Futbol Club Barcelona para …
Un grupo de seis excursionistas que caminaban alrededor de la montaña Tete Blanche entre la frontera de Suiza e Italia desaparecieron el fin de semana. Tras un…
La aerolínea Batik Air de Indonesia será investigada tras el incidente del vuelo BTK6723 donde sus dos pilotos se quedaron dormidos durante el vuelo a su car…
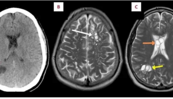
Un paciente de 52 años en la Florida, Estados Unidos, fue al médico por migrañas crónicas que cada vez eran más frecuentes y los medicamentos que usaba ya …
El Miami Seaquarium será obligado a cerrar sus puertas el 21 de abril. Desde su apertura en 1955 ha sido escándalo por sus múltiples violaciones a la ley, te…
"Proyecciones de un Océano Ártico libre de hielo" es el estudio que recientemente publicaron científicos de la Universidad de Colorado Boulder, de Estados Un…
"Sentí como si alguien me apuñalara en mis partes íntimas(...) se sentía como un vaso afilado o un cuchillo", afirmó Michael Farchi, el estadounidense q…
Cifras de la Organización Mundial de la Salud revelaron que alrededor de 52.000 mujeres embarazadas de la franja de Gaza han dado a luz con tan solo la linte…
Seis personas fueron arrestadas en el aeropuerto internacional de Bangkok por un intento de tráfico de fauna silvestre. En su equipaje llevaban 87 animales sa…
Un nuevo estudio de la Universidad de Uppsala en Suecia reveló que los adultos que duermen solo de tres a cinco horas al día tienen un mayor riesgo de desa…
Quirino da Silva Souza, un carpintero brasileño que murió a la edad de 95 años, tuvo un velorio bastante inusual: su familia decidió darle el último adiós…
Investigadores alemanes examinaron el caso de un hombre alemán de 62 años que se aplicó 217 inyecciones contra el coronavirus, sin embargo, no presenta efect…